Revista Canal Abierto 52 | Caso Clínico
Microcirugía Apical y Obturación Simultánea de un “Weeping Canal”: Reporte de Caso
Aceptado: 19-09-2025
Páginas 35-40
Daniela Vergara-Olmos1, Jaime Segovia-Chamorro2, Hernán Gandarillas Fuentes1
- Cirujano dentista, Especialista en Endodoncia y Docente de la Universidad de Valparaíso, Chile
- Cirujano dentista, Especialista en Periodoncia y Docente de la Universidad de Valparaíso, Chile
Resumen
Introducción: Generalmente las lesiones perirradiculares son consecuencia de infecciones endodónticas generadas por biofilms intra y extrarradiculares. Aunque la endodoncia convencional busca su eliminación, en algunos casos el drenaje persistente o “weeping canal” impide el sellado del conducto. Lamentablemente, en muchos de estos casos se indica erróneamente la exodoncia con el consiguiente costo biológico. En este reporte se demuestra cómo la microcirugía apical con obturación simultánea representa una alternativa efectiva ante estos escenarios permitiendo preservar el diente y el hueso perirradicular.
Presentación del caso: Se muestra el manejo de un diente 1.1 con diagnóstico de necrosis pulpar y absceso apical agudo en una paciente de 34 años con antecedentes sistémicos controlados. Tras tratamiento endodóntico convencional bajo protocolos clínicos actualizados, persistió el foco infeccioso extrarradicular. Se realizó microcirugía apical con obturación simultánea utilizando cemento sellador biocerámico y MTA como retrosellador. La evolución clínica fue satisfactoria, con seguimiento a 12 meses permaneciendo asintomático, sin signos de recidiva y con una resolución completa de la lesión inicial.
Conclusión: La combinación de microcirugía apical y obturación simultánea representan una solución eficaz en casos de “weeping canals”, favoreciendo el pronóstico a largo plazo del diente comprometido permitiendo así alargar su vida útil.
Palabras clave: microcirugía endodóntica; obturación simultánea; biofilm extrarradicular; infección persistente apical.
Summary
Abstract
Introduction: Periradicular lesions are generally the result of endodontic infections caused by intra-and extraradicular biofilms. Although conventional endodontic therapy aims to eliminate these infections, in some cases persistent drainage or a “weeping canal” prevents proper canal sealing. Unfortunately, many of these cases are incorrectly treated with tooth extraction, leading to unnecessary biological costs. This report demonstrates how apical microsurgery with simultaneous obturation offers an effective alternative in such scenarios, allowing preservation of the tooth and periradicular bone.
Case Presentation: This report describes the management of tooth 1.1 diagnosed with pulp necrosis and acute apical abscess in a 34-year-old patient with well-controlled systemic conditions. Despite conventional endodontic treatment being performed with updated clinical protocols, the extraradicular infection persisted. Apical microsurgery with simultaneus obturation was performed using bioceramic sealer and MTA as a retrofilling material. Clinical outcomes were satisfactory, with 12-month follow-up showing the patient remained asymptomatic, with no signs of recurrence and complete resolution of the initial lesion.
Conclusion: The combination of apical microsurgery and simultaneous obturation is an effective solution for “weeping canals”, improving the long-term prognosis of the affected tooth and thereby extending its functional lifespan.
Keywords: endodontic microsurgery; simultaneous obturation; extrarradicular biofilm, persistent apical infection.
Introdución
La terapia endodóntica se considera la intervención de primera elección para el tratamiento de lesiones periapicales asociadas a infección del sistema de conductos radiculares (1). El éxito de esta depende del control efectivo de los microorganismos a niveles compatibles con la reparación del tejido afectado. (2,3)
En algunos casos, podemos encontrar una condición clínica conocida como “weeping canal”, “wet canal” o “canal húmedo” caracterizado por un drenaje continuo y abundante de exudado inflamatorio a través del conducto radicular, lo que imposibilita su obturación (4,5). Frente a esta situación, la microcirugía apical constituye una excelente opción terapéutica con tasas de éxito mayores al 80% (6) y es que ante casos de "weeping canal" es necesario realizar la obturación del conducto radicular intraquirúrgicamente una vez que se logra conseguir un conducto radicular seco. Este abordaje permite el acceso directo al área afectada, facilitando la resolución de la infección y promoviendo la cicatrización de los tejidos periapicales (1, 7, 8).
En las últimas décadas, la cirugía apical ha evolucionado hacia la microcirugía endodóntica, caracterizada por el uso de magnificación y microinstrumental específico, lo que permite realizar procedimientos más precisos y mínimamente invasivos, permitiendo recuperar la salud de los tejidos afectados (9). Por otro lado, los avances en el desarrollo de biomateriales utilizados para el retrosellado, como son los cementos biocerámicos, han permitido optimizar las técnicas microquirúrgicas entregando materiales de alta biocompatibilidad, bioactivos, con capacidad de sellado hermético y potencial para inducir la regeneración de los tejidos. Su uso ha demostrado resultados clínicos y radiográficos superiores a los obtenidos con materiales anteriores, incrementando la predictibilidad a largo plazo de la microcirugía apical (7, 9).
Si bien la microcirugía apical y el uso de biocerámicos han sido ampliamente estudiados, la evidencia disponible sobre su aplicación combinada junto a una obturación endodóntica simultánea en casos de “weeping canals” es limitada. En este sentido, el presente reporte documenta el abordaje exitoso de un incisivo central superior tras ser sometido a microcirugía apical, retrosellado con biocerámico y obturación endodóntica simultánea, con un seguimiento clínico e imagenológico que demuestra la resolución de la lesión, neoformación ósea y ausencia de síntomas tras un año de evolución. Estos hallazgos aportan evidencia adicional sobre la efectividad de las técnicas microquirúrgicas contemporáneas, reforzando la importancia de considerar las nuevas tecnologías y biomateriales en escenarios de alta complejidad, históricamente asociados a un pronóstico desfavorable y, en muchos casos, a la extracción como tratamiento definitivo.
Información de la paciente
Acude a atención paciente de género femenino, de 34 años, con resistencia a la insulina y anemia ferropénica controlada farmacológicamente. Consultó por segunda opinión ya que, en atenciones previas con especialistas en endodoncia, se había establecido un mal pronóstico del diente 1.1, indicándose la extracción de este y su posterior reemplazo con un implante osteointegrado.
La paciente buscaba una solución que le permitiera conservar el diente 1.1 y eliminar la sintomatología dolorosa persistente. Dentro de la anamnesis la paciente relató haber sufrido un traumatismo dentoalveolar hace 9 años, el cual no fue controlado en el tiempo.
Presentación del caso clínico
Al examen clínico se observó un aumento de volumen en el fondo de vestíbulo con relación al diente 1.1, eritema, movilidad grado 2 y dolor importante frente a la palpación y percusión horizontal y vertical (EVA 8/10), sondaje periodontal normal y no hubo respuesta pulpar frente a las pruebas térmicas de sensibilidad.
En el examen radiológico se observa una lesión osteolítica apical circunscrita de tamaño 5x8 mm. (Figura 1); además, se decidió complementar con tomografía computarizada de haz cónico debido a la movilidad presentada (Figura 2) en la que se logró visualizar la lesión en forma más precisa entregando una medida de aproximadamente 5x8,5x5mm, con compromiso de la tabla ósea vestibular, manteniendo una banda de tejido óseo a nivel cervical vestibular de entre 3,51 a 4,36 mm y mantención de la tabla palatina.
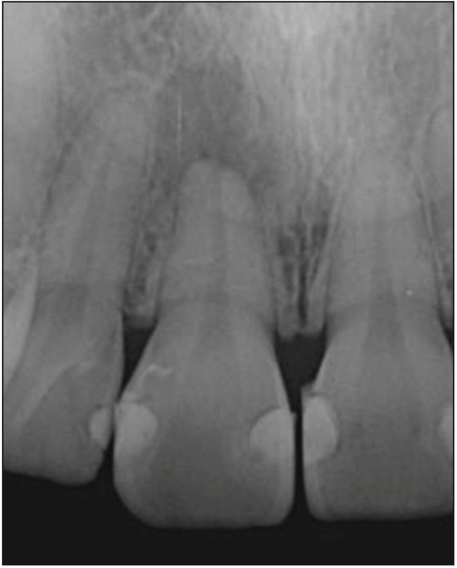
Figura 1. Radiografía retroalveolar de diagnóstico del diente
1.1. Canal radicular amplio, con remodelado. Se observa lesión osteolítica apical extensa circunscrita.
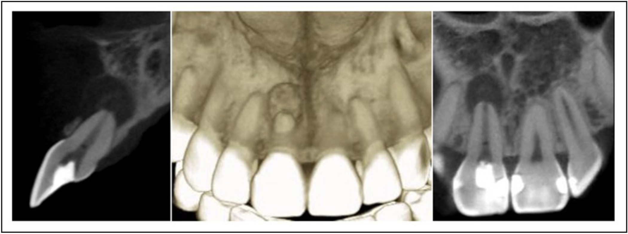
Figura 2. Tomografía computarizada de haz cónico del diente 1.1. Restauración coronaria penetrante. Canal radicular amplio con importantes signos de remodelado apical. Se observa lesión osteolítica periapical con límites netos, aparentemente corticalizada, cuyos diámetros mayores alcanzan 5,06x8,55x5,07mm. Adelgazamiento de la tabla vestibular. Trabeculado óseo heterogéneo.
Una vez analizados los antecedentes, se determinó una hipótesis diagnóstica de necrosis pulpar con absceso apical agudo. Tras definir las alternativas de tratamiento, se decide realizar terapia endodóntica convencional y se le explica a la paciente que, según la evolución del caso, podría requerir de una intervención quirúrgica complementaria.
Tras completar el consentimiento informado para el tratamiento y el uso de información e imágenes, se comenzó con la terapia endodóntica convencional bajo microscopía clínica (Ecleris® OM100, Florida, Estados Unidos), se administró anestesia local de lidocaína al 2% y epinefrina 1:100.000 (Lignospan®standard, Septodont, Saint-Maur-des-Fossés, Francia) mediante técnica troncular infraorbitaria debido al aumento de volumen vestibular determinado por el absceso lo que podría disminuir el efecto del anestésico por la alteración del pH, generar dolor y dificultar el efecto deseado al ser inoculado con técnica infiltrativa (10, 11). A continuación, se realizó la instrumentación mecanizada reciprocante (lima Excalibur® Large de Zarc, Guijón, España) y se complementó con instrumentación manual con lima apical maestra K 60 (M-Acces®, Dentsply Sirona, Ballaigues, Suiza), se irrigó con hipoclorito de sodio al 5,25%, utilizando 15 ml distribuidos durante todo el procedimiento con jeringa de irrigación de salida lateral (Monoject® Cardinalhealth Inc., Ohio, Estados Unidos) y activación ultrasónica. Se dejó medicación de hidróxido de calcio y se selló en forma temporal con cemento provisorio (Fermín® Detax, Ettlingen, Alemania).
Al realizar la segunda sesión, se observó la persistencia del exudado apical, por lo que se realizó una nueva sesión de medicación con hidróxido de calcio. Si bien la literatura sugiere el uso de antibióticos únicamente en casos de compromiso sistémico, se decidió complementar el proceso con terapia antibiótica oral ya que el exudado, el aumento de volumen vestibular, el dolor y el disconfort de la paciente iban en franco aumento y no cedían con la limpieza y medicación del conducto (12). Se indicó amoxicilina más ácido clavulánico (Ambilan BID 875mg/125mg, Laboratorio Chile Teva, Santiago, Chile) cuya posología fue de 1 comprimido cada 12 horas por 7 días. Se citó a una tercera sesión 10 días después, donde se constató que aún persistía el exudado apical, a pesar de la instrumentación, activación de los irrigantes, uso de medicación en dos oportunidades y complemento con terapia antibiótica.
Si bien el cuadro mostró una ligera mejoría tras las sesiones de medicación y apoyo de la antibioticoterapia, no se logró eliminar el continuo drenaje de tipo seroso, imposibilitando la obturación endodóntica. Por lo anterior, se decidió realizar microcirugía apical y obturación endodóntica simultánea, cuya planificación se definió una vez obtenidos los resultados de los exámenes prequirúrgicos solicitados a la paciente, los cuales se encontraban dentro de los parámetros normales.
Para la microcirugía se realizó limpieza del campo con Clorhexidina al 0,12% (Periogard, Colgate, Nueva York, Estados Unidos) luego se anestesió con 2 tubos de articaína al 4% (Septanest® Septodont, Saint-Maur-des-Fossés, Francia) mediante técnica infraorbitaria bilateral e infiltrativa vestibular y palatina. Se realizó un colgajo mucoperióstico con preservación de papilas con una descarga vertical entre dientes 1.3 y 1.2 utilizando un bisturí n°15 (Swann Morton®, Sheffield, Inglaterra) y osteotomía con fresa quirúrgica redonda #8 (SS White ®, Lakewood, Estados Unidos) bajo irrigación con solución salina. Posteriormente, se procedió a remover el tejido granulomatoso que rodeaba el ápice del diente afectado. Considerando la longitud reducida del diente, se optó por realizar una apicectomía conservadora de 1,5 mm y apicoplastía realizada con fresa de carbide troncocónica (Zecrya® Zekrya Microdont, Sao Paulo, Brasil). Dentro del mismo acto quirúrgico, se realizó la obturación radicular con cemento sellador biocerámico (NeoSealer Flo®, Avalon Biomed, Houston, Estados Unidos), más cono único de gutapercha, el cual quedó sobrepasando el ápice 4 mm, y se realizó el sellado coronario con teflón estéril y cemento provisorio (Fermín® Detax, Ettlingen, Alemania). Luego, bajo irrigación de solución salina, se realizó el corte de la gutapercha sobreextendida y la retropreparación con punta de ultrasonido endodóntica E-10 (Woodpecker®, Guilin Guangxi, China). Finalmente, se realizó el retrosellado con cemento biocerámico MTA blanco (Angelus® Londrina, Brasil).
Figura 3. Esquema del procedimiento quirúrgico. A) Exposición del ápice permitiendo el desbridamiento del tejido afectado. B) Obturación intraquirúrgica con cono único y sellador biocerámico. C) Retrosellado con cemento MTA blanco tras preparación de la cavidad con ultrasonido de los 3 mm apicales.
A continuación, se rellenó el lecho quirúrgico con matrices de fibrina rica en plaquetas obtenidas del propio paciente y se utilizó otra matriz del mismo material para proteger el área de la osteotomía antes de la reposición del colgajo y síntesis efectuada a través de puntos simples interrumpidos con sutura reabsorbible (Vicryl 5/0 Ethicon® Ohio, Estados Unidos). Los signos vitales de la paciente se mantuvieron estables durante todo el procedimiento y la muestra del tejido extirpado fue enviada a biopsia. Al finalizar, se tomó radiografía de control del procedimiento realizado.
Figura 4. Radiografía de control inmediato post microcirugía y obturación endodóntica simultánea. Se observa exceso de gutapercha en zona cervical que fue corregido en sesión de control posterior.
El primer control fue realizado a los 7 días, retirando las suturas y controlando la evolución. La paciente relató ligeras molestias en la descarga vertical, ligero aumento de volumen y ausencia de dolor. En esta sesión se realizó la remoción del sellado provisorio, se eliminó el exceso de gutapercha cameral y se efectuó el sellado coronario definitivo con resina compuesta (Filtek® z350, 3M, Minnesota, Estados Unidos) en la cara palatina.
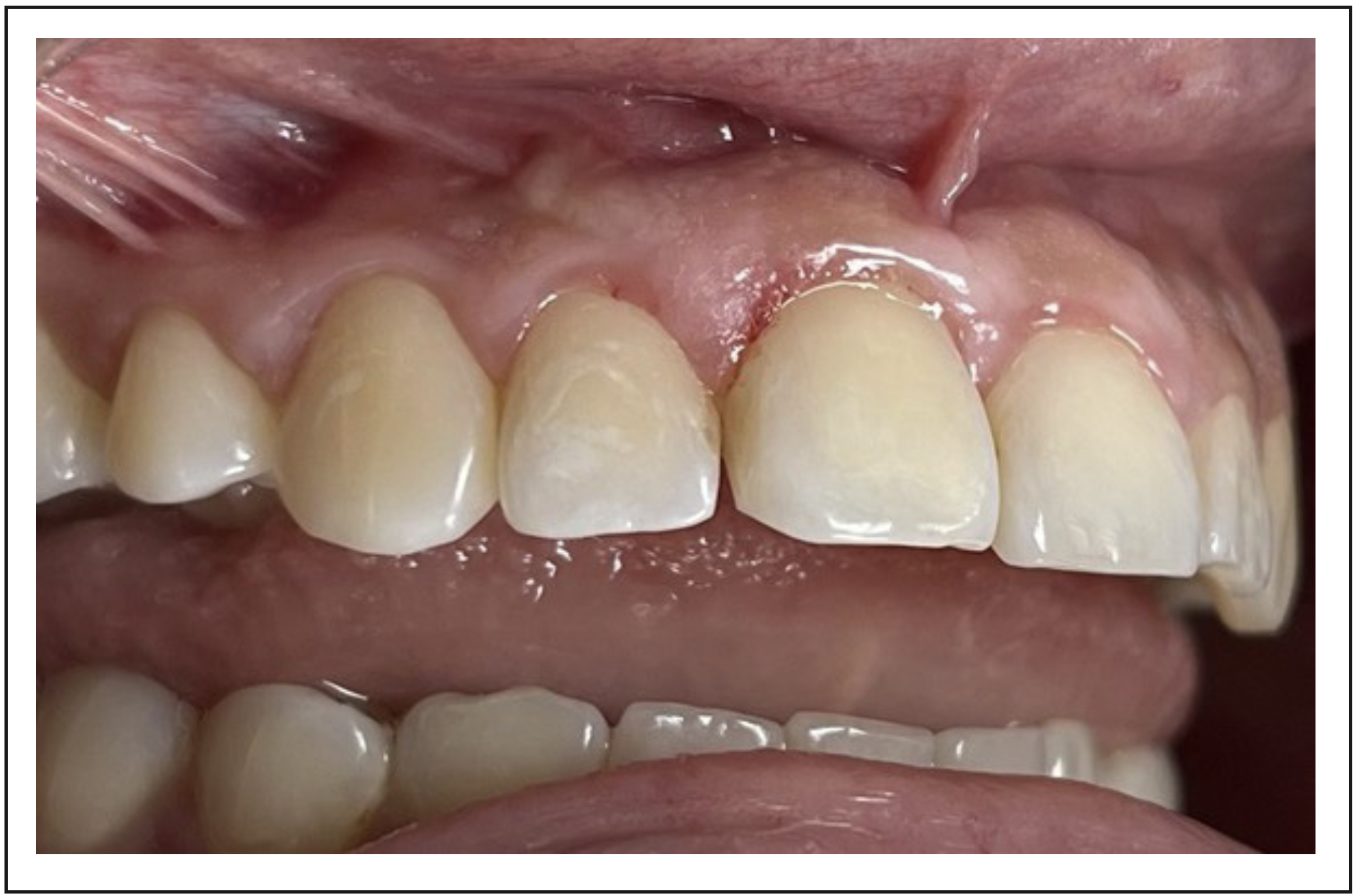
Se controló al mes (Figura 5), momento en el que se recibe el resultado de la biopsia indicando la presencia de un granuloma.
Figura 5. Control al mes posterior a la microcirugía apical donde se observa una evolución positiva respecto a la cicatrización de los tejidos. La paciente relata una mejora notable y ausencia de dolor en la zona de descarga vertical.
Posteriormente, se controló a los 3, 6 y 12 meses observando una excelente evolución en el tiempo: ausencia de signos o síntomas compatibles con inflamación o infección tanto clínica como radiográficamente, siendo la ausencia de movilidad uno de los factores de bienestar más importantes para la paciente. En la tomografía de haz cónico del control anual observamos la recuperación de la tabla vestibular y el relleno óseo del defecto observado anteriormente (Figura 6 y 7).
Figura 6. Control al mes posterior a la microcirugía apical donde se observa una evolución positiva respecto a la cicatrización de los tejidos. La paciente relata una mejora notable y ausencia de dolor en la zona de descarga vertical.
Figura 7. Tomografía de haz cónico de evolución al año post microcirugía. Se observa el relleno hiperdenso de la obturación endodóntica con signos de remodelación apical, trabeculado óseo perirradicular conservado. Tablas óseas vestibular y palatinas conservadas, con mínima interrupción de la tabla ósea vestibular.
Discusión
Generalmente, las lesiones periapicales pueden ser tratadas con éxito mediante endodoncia convencional; sin embargo, algunos casos requieren la microcirugía apical complementaria considerando que la recomendación es seguir tratamientos lo más conservadores posibles (7, 13). Es importante destacar que el 50% de las lesiones corresponden a granulomas, 35% a abscesos apicales y un 15% a quistes verdaderos o de bolsillo (3). En este caso, la histopatología de la lesión determinó la presencia de un granuloma, confirmando lo planteado en la literatura en forma habitual con respecto al diagnóstico de los tejidos biopsiados en las cirugías apicales.
Al evaluar el pronóstico del caso y considerar que en dos evaluaciones previas había sido indicada la extracción y posterior implante, debemos considerar que desde la introducción de la microcirugía endodóntica, que implica la utilización de magnificación, iluminación y microinstrumentales específicos, las tasas de éxito acumulativas de esta terapia alcanzan valores de 91,4% a un 93,5% después de al menos un año de seguimiento que al contrastarlas con las tasas de éxito de implantes que alcanzan valores de 95,5%, nos muestran la posibilidad de que, ante un correcto diagnóstico y selección del caso e implementación adecuada de la técnica, sea posible mantener un diente natural en función, alargando su tiempo de vida, dejando la alternativa del implante para cuando efectivamente el pronóstico sea irremediable (6, 14, 15, 16).
Dentro de los factores que deben considerarse al momento de indicar una microcirugía apical se encuentra la cantidad de remanente óseo cervical. En este reporte, la presencia de una banda ósea cervical superior a 3 mm se consideró un factor pronóstico favorable, dado a que la literatura reporta tasas de éxito significativamente mayores cuando ésta está presente (91,5% vs 71,4%). Este parámetro se convierte, por tanto, en un criterio clínico relevante al evaluar la viabilidad y pronóstico de la terapia quirúrgica (14).
La presencia de un “weeping canal” representa un reto clínico, ya que la persistencia del exudado inflamatorio impide la obturación convencional. La literatura reporta que, en estos escenarios, la microcirugía apical y obturación simultánea del conducto constituye una alternativa viable y predecible (1,4,5,17). Nuestros hallazgos refuerzan esta indicación, mostrando que la técnica microquirúrgica, junto al sellado retrógrado con biomateriales y obturación simultánea, presentan un comportamiento adecuado en el tiempo, resolviendo satisfactoriamente procesos infecciosos resistentes al tratamiento convencional, demostrando resolución de la lesión periapical y estabilidad durante un año, evitando así la extracción (14,16).
El MTA, considerado uno de los primeros biocerámicos, ha demostrado ser un material eficaz y predecible para el retrosellado en microcirugía endodóntica, consolidándose como uno de los primeros cementos a base de silicatos de calcio capaces de favorecer la reparación tisular. Su propiedades biológicas y comportamiento en el tiempo lo mantienen como un referente clínico. Gracias a los conocimientos derivados de la experiencia descrita a partir del uso del MTA, se abrió camino al desarrollo de los actuales biocerámicos, que optimizan manipulación, fraguado y bioactividad, promoviendo la formación de hidroxiapatita y la estimulación de la regeneración del cemento, ligamento periodontal y hueso alveolar. A pesar de estos avances, el MTA sigue siendo una opción confiable y efectiva, respaldada por evidencia clínica sólida. (9,18)
El seguimiento clínico e imagenológico tras un año puede ser considerado como un predictor del resultado del tratamiento a largo plazo. En un estudio a largo plazo de cinco años de seguimiento luego de la cirugía apical, se reportó que la evaluación del resultado después de un año actuaba como predictor de lo evaluado a los 5 años con una exactitud del 95% (19). Lo anterior, coincide con otros reportes en que se indica que la revisión de la evolución de las lesiones apicales y su resolución puede ser evaluada en forma confiable luego de un año de seguimiento (20, 21).
Si bien todo lo anterior nos indica que estos procedimientos pueden evolucionar en forma positiva, se debe considerar que este es un reporte de caso y el seguimiento de un año, no permitiría establecer conclusiones definitivas al respecto del comportamiento a largo plazo del material o técnica microquirúrgica utilizada en todos los casos. Sin embargo, pese a estas limitaciones, este caso aporta evidencia clínica que apoya la efectividad de la microcirugía como terapia para casos con “weeping canal” y resalta el papel de los biocerámicos como materiales de elección para el retrosellado.
Conclusión
El “weeping canal” representa una condición refractaria al tratamiento endodóntico convencional, donde el exudado persistente impide la obturación radicular. Frente a estos cuadros, una alternativa eficaz corresponde a la terapia con microcirugía apical junto al uso de biomateriales y la obturación simultánea del conducto. La correcta selección del caso y la evaluación de factores locales como tamaño de la lesión, banda ósea cervical, estado periodontal, entre otros, pueden mejorar el pronóstico. Si bien se requieren más estudios, esta técnica ha demostrado que puede ser utilizada con buen comportamiento en el tiempo, permitiendo preservar dientes que, de otra manera, podrían considerarse irrecuperables.
Perspectiva de la paciente
La paciente está contenta y satisfecha de poder conservar su diente y no haber sido sometida a tratamiento de implantes, sin antes agotar las instancias para mantener lo natural. Según su relato, fue un gran alivio poder encontrar esta segunda opinión, ya que tenía miedo de perder su diente, principalmente por la estética. El proceso en general lo llevó con calma y con confianza de conocer cada paso y procedimientos a los que fue sometida. Al ver los resultados, tras un año de evaluación, se siente muy agradecida de haber tomado esta decisión.
Consentimiento del paciente
Obtenido tras entrega de información verbal y por escrito del procedimiento, alternativas de tratamiento, posible evolución y complicaciones de la técnica.
Referencias Bibliográficas
- De Castro, H. S., Kehrwald, R., Salmeron, S., Cabral, R. N., Casaroto, A. R., Queiroz, P. M. (2021). Apicectomy and simultaneous obturation of root canals: A clinical case report. Giornale Italiano di Endodonzia, 35(2), 151–157. https://doi. org/10.32067/GIE.2021.35.02.46
- Bronzato, J. D., Bomfim, R. A., Hayasida, G. Z. P., Cúri, M., Estrela, C., Paster, B. J., & Gomes, B. P. F. A. (2021). Analysis of microorganisms in periapical lesions: A systematic review and meta-analysis. Archives of Oral Biology, 124, 105055. https://doi.org/10.1016/j.archoralbio.2021.105055
- Ricucci, D., Candeiro, G. T., Bugea, C., & Siqueira, J. F. Jr. (2016). Complex apical intraradicular infection and extraradicular mineralized biofilms as the cause of wet canals and treatment failure: Report of 2 cases. Journal of Endodontics, 42(3), 509–515. https://doi.org/10.1016/j.joen.2015.12.014
- Álvarez Vásquez, J. L., Guazhima Fernández, M. C., & Durán Ortiz, N. C. (2021). Conducto con exudado persistente: Causas y manejo clínico. Research, Society and Development, 10(9), e52910918558. https://doi.org/10.33448/rsdv10i9.18558
- Locurcio LL, Leeson R. (2017): A case of periradicular surgery: apicoectomy and obturation of the apex, a bold act. Stomatological Dis Sci. 2017; 1:76-80. http:// dx.doi.org/10.20517/2573-0002.2016.08
- Wang H, Xu X, Bian Z, Liang J, Chen Z, Hou B, Qiu L, Chen W, Wei X, Hu K, Wang Q, Wang Z, Li J, Huang D, Wang X, Huang Z, Meng L, Zhang C, Xie F, Yang D, Yu J, Zhao J, Pan Y, Pan S, Yang D, Niu W, Zhang Q, Deng S, Ma J, Meng X, Yang J, Wu J, Du Y, Ling J, Yue L, Zhou X, Yu Q. Expert consensus on apical microsurgery. Int J Oral Sci. 2025 Jan 2;17(1):2. doi: 10.1038/s41368-024-00334-8. PMID: 39743567; PMCID: PMC11693765.
- Setzer, F. C., & Kratchman, S. I. (2022). Present status and future directions: Surgical endodontics. International Endodontic Journal, 55(Suppl. 4), 1020–1058. https://doi.org/10.1111/iej.13783
- Saha, P., & Patowary Saha, P. (2023). A case of periapical surgery: Apicoectomy and obturation of the apex. International Journal of Dental and Medical Sciences Research, 5(4), 74–80. https://doi.org/10.35629/5252-05047480
- Ashi, T.; Bourgi, R.; Cuevas-Suárez, C.E.; Hardan, L.; Nahat, C.; Altaqi, Z.; Kharouf, N.; Haikel, Y. Healing Ability of Endodontic Filling Materials in Retrograde Treatment: A Systematic Review of Clinical Studies. Appl. Sci. 2025, 15, 6461. https://doi.org/10.3390/app15126461
- Parirokh M, Abbott PV. Present status and future directions-Mechanisms and management of local anaesthetic failures. Int Endod J. 2022 Oct;55 Suppl 4:951- 994. doi: 10.1111/iej.13697. Epub 2022 Feb 23. PMID: 35119117.
- Jamil FA, Asmael HM, Hasan AM, Rzoqi MG. Pain Reduction in Extensive Apical Surgery of the Anterior Maxilla: A Comparative Clinical Study. J Oral Maxillofac Surg. 2019 Apr;77(4):715-720. doi: 10.1016/j.joms.2018.09.029. Epub 2018 Sep 29. PMID: 30940355.
- Tampi MP, Pilcher L, Urquhart O, Kennedy E, O'Brien KK, Lockhart PB, Abt E, Aminoshariae A, Durkin MJ, Fouad AF, Gopal P, Hatten BW, Lang MS, Patton LL, Paumier T, Suda KJ, Cho H, Carrasco-Labra A. Antibiotics for the urgent management of symptomatic irreversible pulpitis, symptomatic apical periodontitis, and localized acute apical abscess: Systematic review and meta-analysis-a report of the American Dental Association. J Am Dent Assoc. 2019 Dec;150(12):e179-e216. doi: 10.1016/j.adaj.2019.09.011. PMID: 31761029; PMCID: PMC8098651.
- 13. Fehlberg, B. K., Bittencourt, G. (2019): Parendodontic surgery — apicoectomy and simultaneous obturation of root canals with mineral trioxide aggregate (MTA): Case report. Dental Press Endodontics, 9(1), 48–57. https://doi. org/10.14436/2358-2545.9.1.048-057.oar
- von Arx, T., Jensen, S. S., Hänni, S., & Friedman, S. (2012). Five‑year longitudinal assessment of the prognosis of apical microsurgery. Journal of Endodontics, 38(5), 570–579. https://doi.org/10.1016/j.joen.2012.02.002
- Ricucci D, Milovidova I, Rôças IN, Siqueira JF Jr. Surgical management of a lateral lesion refractory to root canal retreatment caused by an extraradicular calculus. A case report. Aust Endod J. 2023 Apr;49(1):183-191. doi: 10.1111/aej.12632. Epub 2022 May 29. PMID: 35644940.
- Setzer FC, Kim S. Comparison of long-term survival of implants and endodontically treated teeth. J Dent Res. 2014 Jan;93(1):19-26. doi: 10.1177/0022034513504782. Epub 2013 Sep 24. PMID: 24065635; PMCID: PMC3872851
- Prati, C., Azizi, A., Pirani, C., Zamparini, F., Iacono, F., Montebugnoli, L., & Gandolfi, M. G. (2018). Apical surgery vs apical surgery with simultaneous orthograde retreatment: A prospective cohort clinical study of teeth affected by persistent periapical lesion. Giornale italiano di endodonzia, 32(1), 2-8.
- Santiago, M. C., Salles, G. S., Lima, G. G. d., Oliveira, L. A. d., & Salles, L. P. (2025). Comparative analysis of viability, proliferation, and mineralization potential of human pulp and osteoblastic cells exposed to different bioceramic endodontic sealers.
- von Arx T, Janner SFM, Hänni S, Bornstein MM. Radiographic Assessment of Bone Healing Using Cone-beam Computed Tomographic Scans 1 and 5 Years after Apical Surgery. J Endod. 2019 Nov;45(11):1307-1313. doi: 10.1016/j. joen.2019.08.008. Epub 2019 Sep 19 PMID: 31543274.
- Iqbal A, Khattak O, Almutairi H, Almaktoom I, A. Alanazi G, Ali Alruwaili K, Alruwaili A, Ali Alftaikhah S, Issrani R, Mustafa M, Prabhu N. Endodontic Surgery and Post-Treatment Apical Periodontitis: A Systematic Review . Open Dent J, 2024; 18: e18742106296829. http://dx.doi.org/10.2174/011874210629682924051 3095047
- Liao WC, Lee YL, Tsai YL, Lin HJ, Chang MC, Chang SF, Chang SH, Jeng JH. Outcome assessment of apical surgery: A study of 234 teeth. J Formos Med Assoc. 2019 Jun;118(6):1055-1061. doi: 10.1016/j.jfma.2018.10.019. Epub 2018 Nov 16. PMID: 30454858.
- von Arx T, Janner SFM, Hänni S, Bornstein MM. Radiographic Assessment of Bone Healing Using Cone-beam Computed Tomographic Scans 1 and 5 Years after Apical Surgery. J Endod. 2019 Nov;45(11):1307-1313. doi: 10.1016/j. joen.2019.08.008. Epub 2019 Sep 19. PMID: 31543274.







